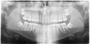
Panoramic System

A digital panoramic system is the newest addition to Brook Dental Associates technology. This digital machine allows us to have a full view of the mouth including the TMJ, wisdom teeth, and aides in implant diagnosis and placement.



